
Soudan: 16% des blessés de guerre de l'hôpital du sud de Khartoum sont des enfants
En 1 clic, aidez-nous à diffuser cette information :
Environ un blessé de guerre sur six soigné à l'hôpital universitaire Bashair, dans le sud de Khartoum, depuis janvier 2024, a moins de 15 ans, a déclaré aujourd'hui l'organisation médicale Médecins Sans Frontières (MSF). Beaucoup ont souffert de blessures par balle, par explosion ou par éclats d'obus. Les médecins s'inquiètent également de la hausse du nombre d'enfants souffrant de malnutrition sévère qui arrivent à l'hôpital.
Les équipes MSF, en collaboration avec le personnel hospitalier, ont soigné plus de 4 214 patients souffrant de traumatismes causés par des violences, notamment des coups de feu et des explosions de bombes. Parmi eux, 16 % étaient des enfants de moins de 15 ans. C'est l'un des derniers hôpitaux en activité dans le sud de Khartoum. Il fournit des soins d'urgence et chirurgicaux ainsi que des services de santé maternelle.
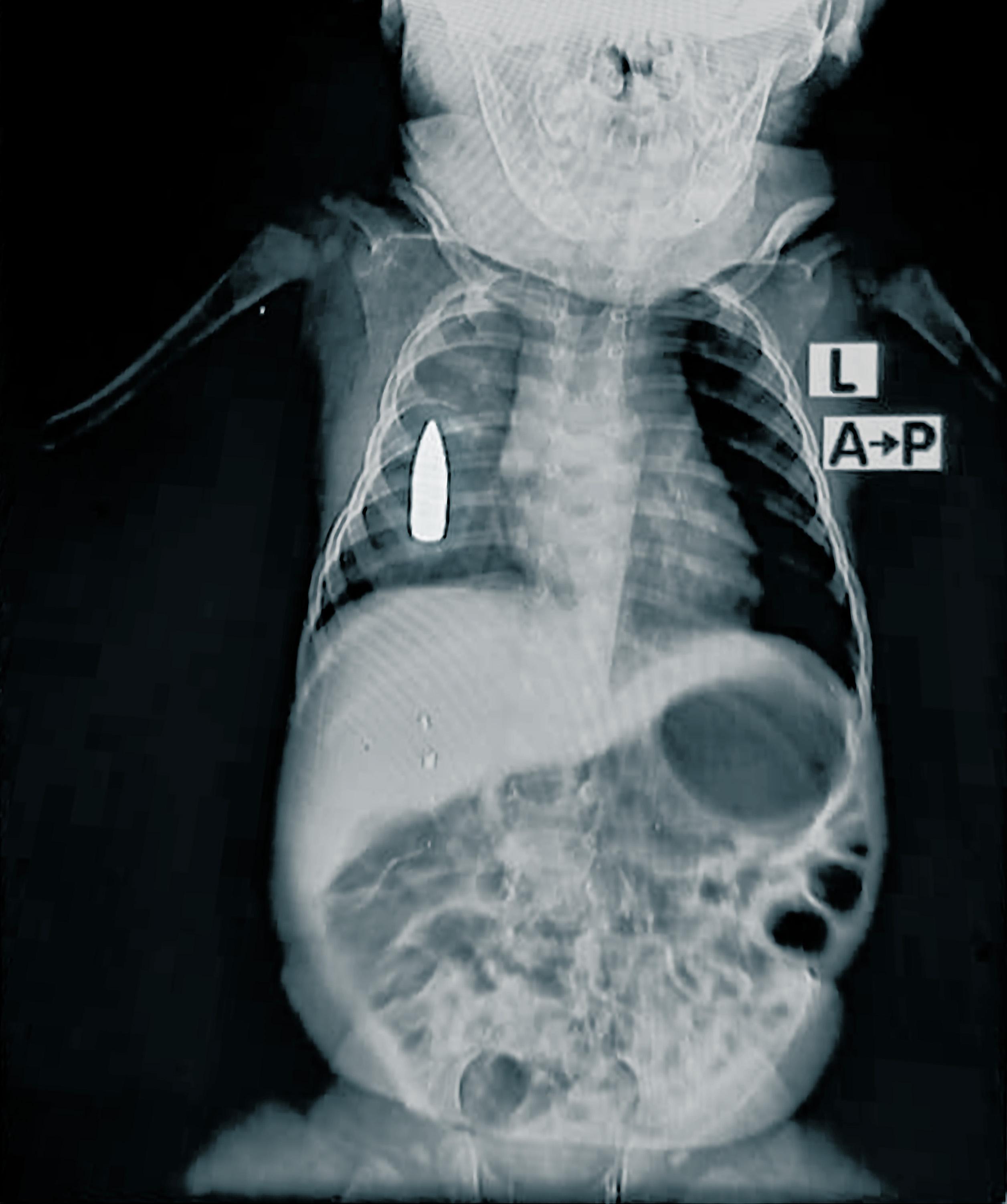
« Riyad, un bébé de 18 mois, a été amené aux urgences après avoir été touché par une balle perdue au côté droit alors qu’il dormait dans la maison familiale », explique le Dr Moeen*, responsable de l’équipe médicale de MSF.
« L’équipe médicale a lutté pendant quatre heures pour le stabiliser. En raison de la perte de sang importante, ses chances de survie à l’opération étaient de 50 %. »
L’équipe a pu stopper l’hémorragie, mais la balle est restée logée dans sa poitrine. On ne sait pas encore combien de temps il faudra attendre avant que quelque chose ne soit fait pour cela. L’hôpital ne dispose pas de capacités chirurgicales avancées, en partie à cause d’un blocage systématique de l’envoi de fournitures chirurgicales depuis octobre 2023. L’orientation des patients hors de la zone est également très difficile car les voies de transport sont soit détruites, soit beaucoup trop dangereuses.
Riyad est l’un des 314 enfants soignés pour des blessures par balle et par explosion en 2024.

Les blocages délibérés du transport de fournitures médicales et de médicaments rendent également impossibles certaines interventions, comme le traitement des brûlures graves. Cette situation est inquiétante car il n'existe plus de centre de traitement des brûlés pleinement opérationnel dans la ville et les civils sont de plus en plus souvent victimes d'explosions de bombes.
Fin octobre, plus de 30 blessés de guerre ont été transportés d’urgence à l’hôpital Bashair en une journée, après une explosion survenue sur un marché situé à moins d’un kilomètre de là. Douze des blessés amenés aux urgences étaient des enfants de moins de 15 ans. Beaucoup souffraient de brûlures et de blessures traumatiques. Une fillette de 20 mois est arrivée avec des éclats d’obus enfoncés dans la tête. Alors que l’équipe l’a soigneusement déposée sur la table de radiographie, une partie de la fragile calotte crânienne de la petite tête est tombée sur la table. « Ce genre de cas est courant », déclare le Dr Moeen*. « Heureusement, cette petite fille a survécu. D’autres n’ont pas eu cette chance ».
Ce type d’afflux massifs de blessés, où un grand nombre de patients arrivent en peu de temps, est devenu plus fréquent à mesure que les combats s’intensifient dans la ville, explique le Dr Moeen*. Les quelques hôpitaux qui continuent de fonctionner subissent une pression énorme et le personnel médical a du mal à répondre à tous les besoins.
Parallèlement, l’hôpital a commencé à constater une augmentation du nombre d’enfants et de femmes enceintes souffrant de malnutrition aiguë. Sans traitement, la malnutrition aiguë peut mettre la vie en danger. Sur les 4 186 femmes et enfants dépistés pour malnutrition entre le 19 octobre et le 8 novembre 2024, plus de 1 500 souffraient de malnutrition aiguë sévère et 400 de malnutrition modérée.
« Ces chiffres de violence et de malnutrition illustrent le cauchemar que vivent les populations, y compris les enfants, à Khartoum. Les parties au conflit doivent veiller à la protection des civils. Les fournitures médicales doivent pouvoir atteindre tous les hôpitaux du Soudan », a déclaré Claire San Filippo, coordinatrice des urgences de MSF.
*Afin de protéger la personne concernée, le nom du médecin a été anonymisé.
Depuis le début du conflit en avril 2023, plus de 500 000 personnes ont sollicité des soins médicaux dans les hôpitaux, les structures de santé et les cliniques mobiles soutenus par Médecins Sans Frontières (MSF) à travers le Soudan. MSF soutient et travaille dans plus de 12 structures de santé dans les zones touchées par le conflit, notamment à Khartoum, théâtre d'affrontements de haute intensité depuis le début de la guerre. Entre janvier et septembre 2024, MSF a soigné un total de 6 557 blessés de guerre dans toutes ses structures au Soudan. Avec plus de 11 millions de personnes déplacées, le Soudan est devenu la plus grande crise de déplacement de mémoire récente. MSF est active dans 11 des 18 États pour fournir une aide médicale gratuite à ceux qui en ont le plus besoin.


