
Sudan: 16% of war-wounded patients at south Khartoum hospital are children
In 1 click, help us spread this information :
Approximately one in six war-wounded patients treated at the Bashair Teaching Hospital in south Khartoum since January 2024 have been under the age of 15, medical organisation Médecins Sans Frontières (MSF) said today. Many suffered gunshot, blast and shrapnel wounds. Doctors are also concerned about the spike in children arriving at the hospital severely malnourished.
MSF teams working alongside hospital staff have treated more than 4,214 patients for trauma injuries caused by violence, including gunshots and bomb blasts. Of these, 16% were children under 15 years. This is one of the last functioning hospitals in south Khartoum. It provides emergency and surgical care as well as maternal healthcare services.
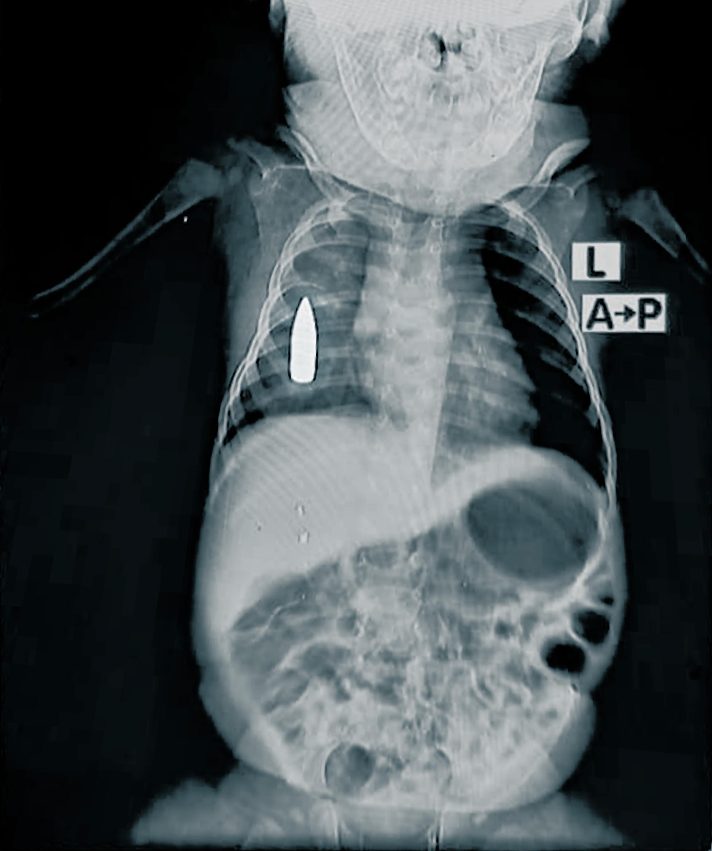
“18-month-old baby Riyad was brought to the emergency room after a stray bullet struck his right side while he was napping in his family’s home,” said Dr Moeen*, MSF medical team leader.
“The medical team fought for four hours to stabilise him. Due to the heavy loss of blood, the chances of him surviving the surgery were fifty-fifty.”
The team was able to stop the bleeding however the bullet remained lodged in his chest. It is unclear how long it will be before anything can be done about this. The hospital does not have advanced surgical capacities, partly as a result of a systematic blockage on sending surgical supplies since October 2023. Referring patients out of area is also very difficult as transport routes are either destroyed or far too dangerous.
Riyad is one of the 314 children treated for gunshot and blast wounds in 2024.

Deliberate blockages on the transport of medical supplies and medicines also mean that some procedures, such as treating severe burn injuries, are not possible. This is worrying as there is no fully functioning burn centre left in the city and civilians are increasingly victims of bomb blasts.
In late October more than 30 war wounded patients were rushed to Bashair Hospital in one day following an explosion at a market less than one kilometre away. Twelve of those brought to the emergency room were children under 15. Many had suffered burns and trauma wounds. One girl of 20 months came in with shrapnel deep in her head. While the team carefully laid her on the x-ray table, part of the tiny head’s fragile skullcap fell onto the table. “Cases like this are common,” Dr Moeen* says. “Thankfully that little girl survived. Others are not so lucky”.
Mass casualty events like this – where a large number of patients arrive in a short space of time – have become more frequent as the fighting in the city has intensified, Dr Moeen* explains. The few hospitals that continue to function are under immense pressure and medical staff are struggling to manage all the needs.
At the same time, the hospital has begun to see an increase in the number of children and pregnant women arriving at the hospital acutely malnourished. Without treatment, acute malnutrition can be life-threatening. Of the 4,186 women and children screened for malnutrition between 19 October and 8 November 2024, more than 1,500 were suffering from severe acute malnutrition and 400 were moderately malnourished.
“These figures of violence and malnutrition show the nightmare people, including children, are experiencing in Khartoum. Parties to the conflict must ensure civilians are protected. Medical supplies should be allowed to reach all hospitals in Sudan,” said Claire San Filippo, MSF Emergency Coordinator.
*To protect the individual in question the name of the doctor was anonymised.
Since the outbreak of the conflict in April 2023, over 500,000 people have sought medical care in Médecins Sans Frontières (MSF) supported hospitals, health facilities and mobile clinics across Sudan. MSF is supporting and working in more than 12 health facilities in conflict-afflicted areas, including in Khartoum, sites of high intensity clashes since the beginning of the war. Between January and September 2024 MSF treated a total of 6,557 war wounded in all our facilities in Sudan. With over 11 million people displaced Sudan has become the largest displacement crisis in recent memory. MSF is active in 11 of 18 states to deliver free medical aid to those who need it most.


